中枢神経系(脳、脊髄)腫瘍には、頭蓋内あるいは脊柱管内組織から発生する原発性腫瘍と、他臓器がんの中枢神経系への転移である転移性腫瘍があります。
原発性中枢神経系腫瘍は、日本では1年間に約3万人発生し、頻度の多い順に、髄膜腫、神経膠腫 (グリオーマ)、下垂体腺腫、中枢神経原発悪性リンパ腫などがあります。転移性中枢神経系腫瘍は、症候性(麻痺などの症状を出す)のものはがん患者の8〜10%、無症状のものを含めれば年間数万人以上発生していると考えられています。
一般に、頭蓋内腫瘍(頭蓋骨の内側に存在する腫瘍)を脳腫瘍と呼びます。当科では、ほぼあらゆる種類、場所の脳腫瘍に対して、豊富な経験、最先端の知識と最新の情報に基づき、また他施設との密接な連携体制を生かし、適切かつ最善の治療を提供できるよう努めています。日常的に運動機能等の電気生理学的なモニタリングを行う体制が整備されており、ほぼ全ての開頭腫瘍摘出術が、脳神経機能モニタリングのもとで施行されています。
| 2019年度 | 2020年度 | 2021年度 | 2022年度 | 2023年度 |
|---|---|---|---|---|
| 11 | 18 | 15 | 35 | 42 |
一般に、手術のみで根治可能なものを良性腫瘍といいます。
一方、悪性腫瘍は、正常組織内に浸み込んだり、転移したりする性質を持ち、手術のみで根治することは困難です。
原発性中枢神経系腫瘍の約70%は良性腫瘍で、約30%が悪性腫瘍です。
髄膜とは、脳に接する軟膜、その外側のくも膜、硬膜の総称です。軟膜とくも膜の間は髄液で満たされており、脳と脊髄は髄液で覆われ、その中に浮いているような状況です。 髄膜腫は、くも膜から発生する腫瘍です。その大部分は良性腫瘍であり、 全摘出されれば手術のみで根治が可能ですが、静脈洞という太い静脈の壁から発生するものや、頭蓋底に発生する腫瘍では、全摘出が困難なことも稀ではありません。髄膜腫に対する治療は、手術による摘出が第一に推奨されます。髄膜腫の20-30%は、異型髄膜腫あるいは退形成性髄膜腫と呼ばれる、悪性髄膜腫です。
悪性髄膜腫は、しばしば、手術および放射線後も再発を繰り返し、脳腫瘍の中で、最も治療困難なものの一つです。再発髄膜腫に対しては、再手術のほか、サイバーナイフやガンマナイフなどの定位的放射線治療(座標を決めて行うピンポイントの放射線治療)が行われます。少なくてもこの記事を記載している時点では、髄膜腫に対して有効な薬物治療は、国際的にもありません。
当科では、髄膜腫の手術経験が豊富であり、また、定位的放射線治療施設と密接な連携体制が構築されており、患者さんの意向と医学的見地から、適切な治療とタイミングを提案、提供するよう努めています。また、当科は、悪性髄膜腫に対して日本で最初の薬物治療臨床試験を研究代表者として実施したほか(「研究と寄付のお願い」参照)、ゲノム医療中核拠点病院などと密接に連携し、薬物治療の可能性を検討しています。
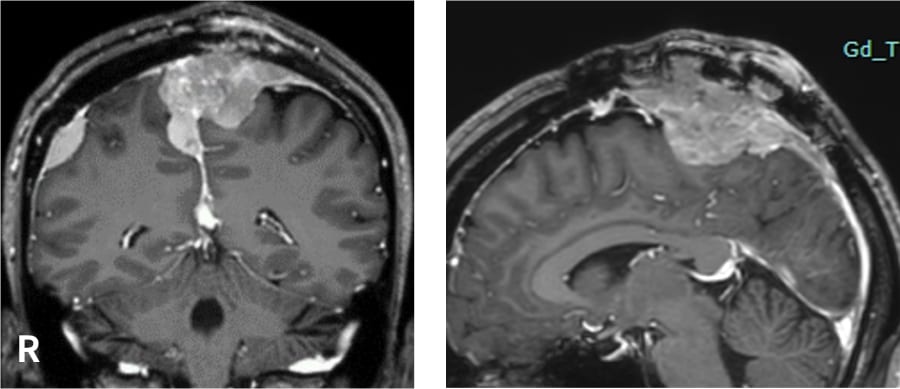
上矢状静脈洞を充満する異型髄膜腫。傍矢状洞に加え、大脳鎌、右円蓋部などに多発する腫瘍がみられる。
上矢状洞を切断する手術では脳の静脈の流れに大きな影響を生じる可能性があり、手術の可否、タイミングが慎重に検討された。
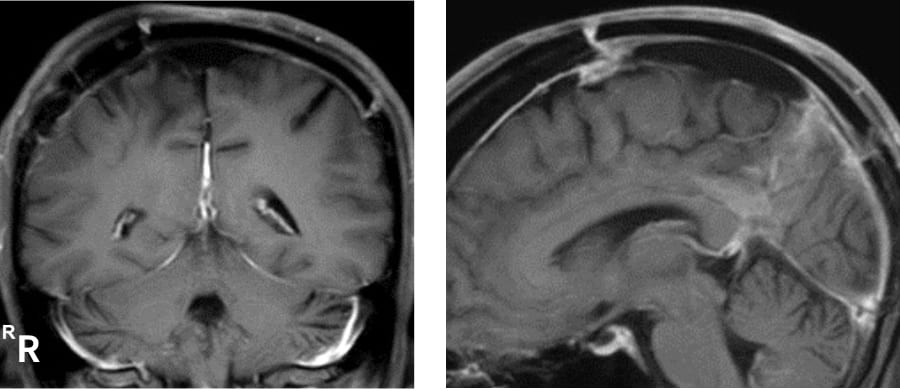
開頭手術にて全摘出され、上矢状静脈洞切断断端には定位的放射線治療が施行された。

術前

術後
(手術後、上矢状静脈洞断端に定位的放射線治療後)
脳は、神経細胞、グリア細胞、ミクログリア細胞、血管の細胞で構成されています。ミクログリア細胞は主に免疫に関係する細胞であり、グリア細胞は神経細胞を、機能、栄養、構造面で支える細胞です。
グリオーマはグリア細胞由来の腫瘍と考えられています。小児にも成人にも発生し、正常脳組織にしみ込まない限局型と、正常脳組織にしみ込む(浸潤する)びまん性型がありますが、グリオーマの大部分は成人に発生する成人型びまん性グリオーマです。従来グリオーマでは、腫瘍細胞や組織の形態(顕微鏡所見)により、組織型や悪性グレードの分類が行われきましたが、現在では、形態以上に、腫瘍の遺伝子異常が重要と考えられています。最新のWHO診断基準では、成人型びまん性グリオーマは、星細胞腫(IDH変異型)、乏突起膠腫(IDH変異かつ1p/19q共欠失型)、膠芽腫(IDH野生型)に分類されます(図)。
また、細胞や組織の形態と遺伝子異常により、悪性グレードが決められ、星細胞腫(IDH変異型)はグレード2〜4のいずれか、乏突起膠腫はグレード2〜3のいずれか、膠芽腫はグレード4に分類されます。成人型びまん性グリオーマは、浸潤性に脳組織内にしみ込むように発育するため、手術による完全切除は困難です。一方、手術での摘出率(腫瘍の摘出割合)や残存腫瘍量が、患者さんの予後(生存期間など)に大きく影響することが知られています。そのため、治療は、まず手術で安全な範囲でできる限り摘出(可及的摘出)し、摘出された腫瘍の病理・遺伝子診断に基づいて、放射線治療や薬物療法が施行されることとなります。
当科におけるグリオーマ診療は、豊富な治療経験に加え、以下のような最先端の技術を用いて行われています。

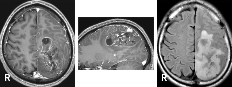
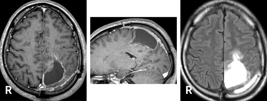
右下肢の感覚障害で発症された、左頭頂葉、長径約8 cmのグリオーマ(乏突起膠腫 Grade 3)。最も前方の嚢胞により中心溝が強く前方へ圧迫されていた。運動神経モニタリングの下で手術が行われ、ほぼ全摘出された。術前画像にて乏突起膠腫が疑われていたこともあり、摘出腔に抗がん剤ウエハースが留置された。

術前

術後
中枢神経系原発悪性リンパ腫(PCNSL)とは、中枢神経以外に病巣のない悪性リンパ腫のことを言い、近年増加しています。中高年に多く、一般に進行が非常に早いため、早期の診断と治療開始が重要です。
悪性リンパ腫は、手術での摘出率が患者さんの予後と関係しないため、まず手術(通常は生検)で病理診断を確認した後、薬物療法や放射線治療を行います。標準治療(臨床試験の結果などに基づく、現状で最善と考えられる治療法)は、大量メトトレキサート療法を基盤とする薬物療法による寛解導入と、それに続く放射線治療と考えられています。高齢者では、放射線による認知機能低下を心配し、薬物療法だけの治療が行われることがあり、また、全身の臓器機能に問題のない非高齢者では、自家末梢血幹細胞移植支援による大量化学療法が施行されることがあります。当科は、PCNSLの治療経験が豊富です。
当科では、国際的に標準治療の一つとして考えられているR-MPV療法(大量メトトレキサート療法に、さらに3剤を併用する薬物療法)を第一に考え、患者さんの全身状態や病態に応じて、最適な治療を提供できるよう努めています。大学病院の血液内科とも連携し、幹細胞移植支援による大量化学療法を勧めさせていただくこともあります。
胚細胞腫瘍とは、胚細胞(精子や卵子)の腫瘍で、精巣、卵巣の他、頭蓋内にも発生することがあります。小児や若年成人に多く、ほとんどが松果体部や鞍上部(トルコ鞍の上)に発生し、水頭症(頭痛、嘔吐)、複視(ものが二重に見える)、尿崩症(極度の多尿)などで発症します。治療は、診断(生検や血液マーカーによることが多い)の後に、薬物療法と放射線治療を組み合わせますが、しっかりと的確な治療を行うことが極めて重要です。中枢神経胚細胞腫瘍の約2/3は胚腫(ジャーミノーマ)であり、比較的良好な予後が期待されますが、10年以上経過してから再発することもあり、長期の経過観察が必要です。
海綿状血管腫とは、海綿状に膨らんだ異常血管のかたまりで、肉眼的には、一般に、桑の実様と表現されます。約20%は遺伝性で、その場合は脳内に多発することが多いとされています。
腫瘍ではなく、多くは無症状ですが、てんかん発作の原因となっていたり、出血を繰り返す場合には、摘出手術が行われることがあります。大脳、小脳、脳幹などに発生しますが、特に脳幹部の海綿状血管腫は再出血率が高いとされています。有効な薬物療法はなく、放射線治療の有効性は確立されていないため、治療方針は、経過観察か手術を選択することになります。
当科では、患者さんの意向を第一に尊重しつつ、手術が望ましいと考えられる場合には、十分な術前シミュレーションを行うことにより、摘出手術を積極的に検討しています。
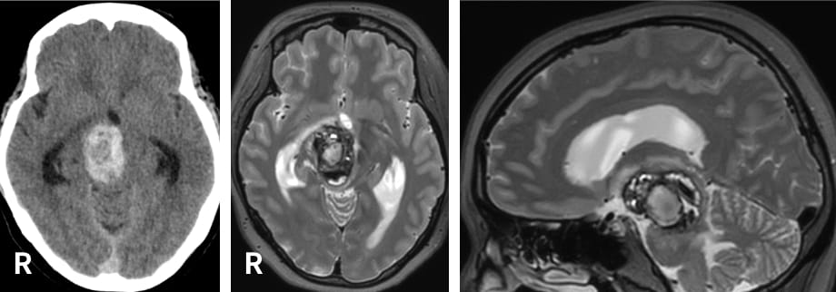
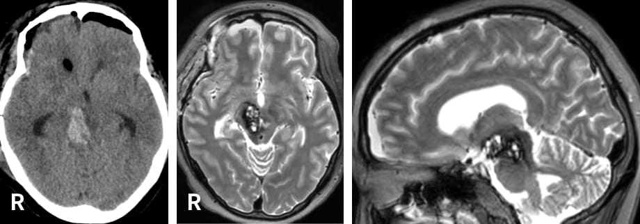
元々は中脳の右腹側(前側)の血管腫で、出血を繰り返した例。
水頭症を伴い、意識障害、眼球運動障害、左麻痺を生じた。手術前に入念にシミュレーションを行い、右側の頬骨と眼窩縁を外してのアプローチにより、大部分の摘出がなされた。
手術後、水頭症は消失し、現在までのところは再出血はなく、ADL(日常生活動作)自立となった。


術前

術後
原発巣(もともとのがんの発生臓器)としては、肺癌、乳癌、結腸・直腸癌、腎癌、胃癌、食道癌などが多く、そのほかに、脳に転移しやすいがんとして悪性黒色腫が知られています。
脳の毛細血管には、血液脳関門と呼ばれる、血液中の物質が脳組織内に入りにくい構造があり、一般に抗がん剤などの薬物療法の、中枢神経転移への有効性は限定的です。
そのため、治療は、手術による摘出と放射線治療が主体です。中枢神経病変の数、病変の場所、大きさ、原発のがんの生物学的特性(放射線治療が効きやすいがんか)、原発巣及び他臓器転移巣の治療状況、それまでの治療歴、患者さんの全身状態や年齢、頭痛や麻痺などの症状の有無などを参考に、患者さんとご家族、原発巣の主治医、放射線科、脳神経外科などが十分に相談のうえ、治療方針が決定されます。病変の大きさが3〜4cm以上である、症状がある、病変が一つである、などの場合は、摘出手術が検討されることが多く、病変の大きさが3cm以下である、症状がない、病変が複数ある、などの場合は、放射線治療が検討されます。
転移性脳腫瘍に対する放射線治療は、従来、画像で見えない微細な転移病変への治療も考え、全脳照射が標準的でしたが、近年では、病変をピンポイントで治療する定位的放射線治療が普及しています。
当科は、院内他診療科はもちろんのこと、国内有数の治療経験を有する定位的放射線治療施設と日常的に密接な連携体制をもち、最適な治療を、スピード感を持って提供できるよう努めています。